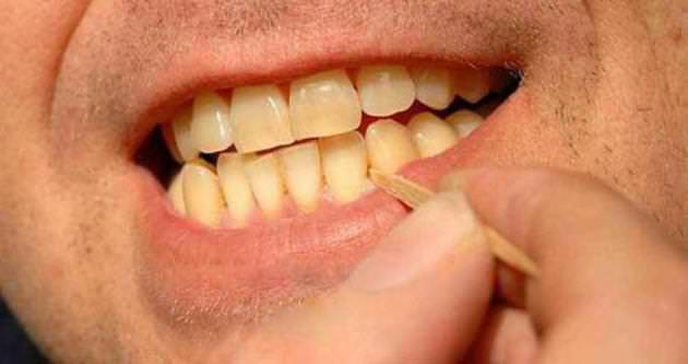
Diş Etlerine Dokunmadan Kürdan Kullanın

Kurban Bayramı'nda sıklıkla tüketilen etler, diş aralarına girerek iltihap oluşmasına neden olabiliyor.

Diş Etlerine Dokunmadan Kürdan Kullanın

Diş Hekimi Pertev Kökdemir, "Bayramda et tüketildikten hemen sonra dişlerinizin arasına giren yiyecek artıklarını diş ipi ile temizlemelisiniz. Eğer o an diş ipi temizliği yapamıyorsanız; diş etlerinize zarar vermeyecek şekilde kürdanla diş temizliğinizi yapmaya çalışmalısınız " diyerek uyarıyor.

Kurban Bayramı'nda akraba ziyaretlerinde mutlaka et tüketildiğini belirten Kökdemir, dişlerin arasına girecek yiyecek kalıntılarının kaçınılmaz olduğunu belirtti. Et tüketiminin abartılmaması gerektiğini belirten Diş Hekimi Pertev Kökdemir, "Dişler ne kadar fırçalanırsa fırçalansın, diş ipi kullanılmadıktan sonra diş çürümelerinin önüne geçilemez " dedi.

Diş Hekimi Pertev Kökdemir, Kurban Bayramı'nda ağız ve diş sağlığının korunması için önerilerde bulundu:

"Dişlerin arasına yiyecek sıkışması ve bunun temizlenmemesi, çürük ve diş eti iltihabı gibi birçok soruna sebep olabilir. Özellikle Kurban Bayramı'nda yenen etlerden parçaların sıkışması ve bunların hemen temizlenmemesi, diş ağrısı şeklinde sizi rahatsız edebilir. Bu ağrı, araya sıkışan parçanın dişleri ittirmesi veya diş etine baskı yapması sonucu oluşur. Eğer dişlerin arasına kaçan bu parça kısa zamanda temizlenmezse; diş etine gelen baskı sebebiyle bu bölgede diş eti iltihabı oluşur. Daha sonra bu parça o bölgeden uzaklaştırılsa bile diş eti iltihabının iyileşmesi iyi bir bakım ile 2-3 gün sürebilir. Bu nedenle diş arasına bir yiyecek sıkıştığı zaman öncelikle diş ipi yardımı ile derhal temizlenmelidir. Ancak o an için diş ipi yoksa kürdan yardımı ile diş etlerine dokunmadan temizleme işlemi yapılmalıdır. Aynı bölgeye sürekli yiyecek sıkışması oluyorsa; o bölgenin düzenlenmesi için mutlaka bir diş hekimine gidilmelidir. Çünkü o bölgede bir diş çürüğü veya kendinizin fark edemeyeceği diş eti iltihabına bağlı diş aralanması meydana gelmiş olabilir. "

 

6.9.2016 1 - 22895



İlgili Diğer Yazılar
Sıcak Havada Soğuk İçecekler Dişlerinizi Sızlatıyor Mu?
Sıcak Havada Soğuk İçecekler Dişlerinizi Sızlatıyor Mu?
Ağız Kokusu ve Diş Eti Kanaması
Ağız Kokusu ve Diş Eti Kanaması
Diş eti kanamaları ciddi sağlık sorunlarının habercisi
Diş eti kanamaları ciddi sağlık sorunlarının habercisi
20 yaş dişleri ne zaman çekilmeli?
20 yaş dişleri ne zaman çekilmeli?
10 Adımda Sağlam Dişler!
10 Adımda Sağlam Dişler!
Konuyla İlgili Sorular
İlgili Forum Konuları

SAĞLIK HABERLERİ Tüm Haberler Sağlık Haberleri Rss

FOTO GALERİ Tüm Foto Galeriler
Diş Fırçanızı Karanlık Yerde Tutuyorsanız Dikkat! Tehlike Saçıyor
Diş Fırçanızı Karanlık Yerde Tutuyorsanız Dikkat! Tehlike Saçıyor
Yumurtayı Pişirmeden Önce Yıkamak Ne Kadar Doğru?
Yumurtayı Pişirmeden Önce Yıkamak Ne Kadar Doğru?
Kan Lekeli Yumurta Yenir mi?
Kan Lekeli Yumurta Yenir mi?
Lahana Yapraklarını Göğsünüze Sarın, Faydası İnanılmaz
Lahana Yapraklarını Göğsünüze Sarın, Faydası İnanılmaz

SAĞLIK VİDEOLARI Tüm Videolar
Sağlık Video Göziçi İğne Nedir? Neden Yapılır? İzmir Kaşkaloğlu Göz Hastanesi
Göziçi İğne Nedir? Neden Yapılır? İzmir Kaşkaloğlu Göz Hastanesi
Sağlık Video Yakını Görememe ve Tedavisi İzmir Kaşkaloğlu Göz Hastanesi
Yakını Görememe ve Tedavisi İzmir Kaşkaloğlu Göz Hastanesi
Sağlık Video Botoks Nedir Kaşkaloğlu Göz Hastanesi
Botoks Nedir Kaşkaloğlu Göz Hastanesi
Sağlık Video Katarakt Ameliyat Sonrası Gözlük İzmir Kaşkaloğlu Göz Hastanesi
Katarakt Ameliyat Sonrası Gözlük İzmir Kaşkaloğlu Göz Hastanesi

 

[Hata Bildir]